MENU
  • トップTop
  • お知らせNews
  • 診療案内Services
    • はじめての方へ
    • 施設紹介
    • スタッフ紹介
    • アクセス
  • 手術についてSurgery
    • 腎臓・胆のうの病気について
    • 骨折の手術について
    • 避妊・去勢手術について
    • セカンドオピニオン
  • ペットホテルPet Hotel
  • 獣医師コラムVet’s Column
  • 採用情報Recruit
【開発】桜の街どうぶつ病院(世田谷区桜新町)
  • トップTop
  • お知らせNews
  • 診療案内Services
    • はじめての方へ
    • 施設紹介
    • スタッフ紹介
    • アクセス
  • 手術についてSurgery
    • 腎臓・胆のうの病気について
    • 骨折の手術について
    • 避妊・去勢手術について
    • セカンドオピニオン
  • ペットホテルPet Hotel
  • 獣医師コラムVet’s Column
  • 採用情報Recruit
03-6432-3366
【開発】桜の街どうぶつ病院(世田谷区桜新町)
  • トップTop
  • お知らせNews
  • 診療案内Services
    • はじめての方へ
    • 施設紹介
    • スタッフ紹介
    • アクセス
  • 手術についてSurgery
    • 腎臓・胆のうの病気について
    • 骨折の手術について
    • 避妊・去勢手術について
    • セカンドオピニオン
  • ペットホテルPet Hotel
  • 獣医師コラムVet’s Column
  • 採用情報Recruit
  1. ホーム
  2. 獣医師コラム
  3. 犬の胆泥症とウルソについて

犬の胆泥症とウルソについて

2025 7/24
獣医師コラム
2024年11月5日2025年7月24日

「胆嚢(たんのう)が汚れているから、お薬出しておきますね」 これは必要ないことが多いです。

あなたの愛犬はずっとウルソを飲んでいませんか?

もちろん、ウルソが必要な犬もいますが、多くの犬にとって必須の薬ではないというエビデンスがが出ています。

目次

犬の胆泥症とは

犬の胆泥症とは、胆嚢内に胆泥と呼ばれる濃縮された胆汁がたまる状態を指します。

胆泥は固形化せずに流動性を保っているものの、エコー検査で見ると、胆嚢に沈殿物があるように見えることが特徴です。

しかし、この胆泥自体は通常、犬に症状を引き起こすことは少なく、健康リスクを伴わないケースも多くあります。

以下は犬の胆嚢のエコー画像です。

犬の正常な胆嚢

矢印の黒いところが正常な胆嚢です。

エコーで真っ黒に映るところは液体であり、胆嚢は本来、このように真っ黒に映ります

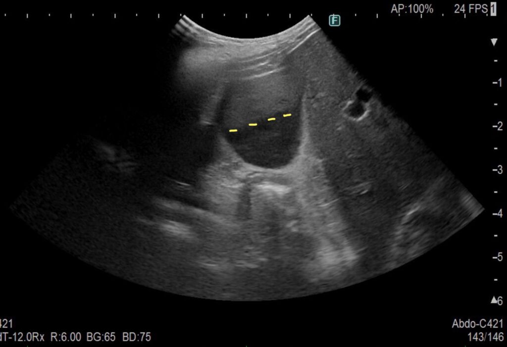
犬の胆泥症(可動性)

これが胆泥症の胆嚢です.
黒いところと、白いところ(グレー)の境目が、一本の線で分けられる時は、可動性の胆泥症です。
この場合は治療が必要ない胆泥症といえます。

犬の胆泥症(胆石になりかけ)

前の画像とは違い、一本の線が引けません。
これは、胆泥症から胆石になりかけている途中の状態です

犬の胆嚢粘液脳腫

白いところと黒いところが混ざり合ってゴチャゴチャしています。
これは、胆嚢粘液嚢腫と言われる胆嚢内がゼリーのようになって流れが悪くなっている状態です。
危険な状態のことが多いです。

犬の胆嚢治療における誤解

健康診断などでエコー検査をした際に「胆嚢が汚れていますね。お薬始めましょうね」と指摘され、胆嚢の薬を始めるワンちゃん(ネコちゃんではあまり経験がありません)を良く診察します。

実は薬を必要としないケースが多いのです。

必要のない薬を長期間服用しているワンちゃんが多いのを知っているご家族さまは少ないです。

しかし、獣医師が読む胆嚢疾患の最新の勉強会やセミナーの資料では

「胆泥自体の意義は非常に限定的であり、少なくとも”胆泥症であるから治療を行った”、”胆泥を改善させることを目的に治療を行った”などの考え方は現時点で誤りである」

とされています。
また、

「胆泥のある犬45頭を1年間追跡調査した結果、症状・血液検査の異常を呈した犬は1例もいなかった」

とされています。

もちろん、ウルソやスパカールといった、いわゆる胆嚢の薬が必要な子たちもいます。全ての犬に必要がないと言っているわけではなく、必要のない子に出されているウルソが多すぎるということです。

これはいわゆる経営面のために出されているか、知識のアップデートがされていない場合がほとんどです。

ウルソを長期間使っていても、副反応が出ることはマレですが、必要のない薬品を身体に入れるのは良いことではないと思います。

「胆泥があるから薬を飲む」という概念から、「本当に薬が必要なケース」を獣医師が見極めることが重要です。

ちなみに、ウルソ同じように必要のない子に出されていることが多いという点では、甲状腺機能低下症の薬も同じことが言えます。

セカンドオピニオンの重要性

いつもお伝えしていることではありますが、1人の獣医師が全てを診る時代ではなく、どんなに良い獣医師でも、苦手な分野がありますので、

もしかしたら、今の治療ではないかもしれない
もしかしたら、他の先生にも診てもらった方がいいかもしれない

という気持ちは持っていた方がいいと思います。

獣医師コラムへ>>
獣医師コラム
  • URLをコピーしました!
  • コラム記事「エビデンスのある抗生剤の使用をしましょう」を公開しました
  • 飲む糖尿病の薬 犬猫の「センベルゴ」

関連記事

  • 犬の膝蓋骨脱臼(パテラ・膝蓋骨内方脱臼)を動画・画像で解説!
    2025年2月26日
  • 犬の前足骨折|抱っこ時の落下に要注意!手術と回復の流れ
    2025年2月19日
  • 飲む糖尿病の薬 犬猫の「センベルゴ」
    2024年11月12日
  • エビデンスのある抗生剤の使用をしましょう
    2024年10月2日

桜の街どうぶつ病院 LINE公式アカウント

診療状況などのお知らせの配信を始めました。

友だち追加

桜の街どうぶつ病院は世田谷区深沢にある、大切なペットの健康と幸せを第一に考える動物病院です。
当院は世田谷区でも数少ない認定医による深く確かな診察を提供しています。
診療や治療はもちろん、お預かりサービスや健康管理に役立つペットドックもご用意しております。
また、セカンドオピニオンにも対応し、飼い主様が納得できる最適な治療方針を一緒に見つけます。
安心して相談できる動物病院をお探しの方は、ぜひ桜の街どうぶつ病院へお問い合わせください。

桜の街どうぶつ病院フッター

〒158-0081
東京都世田谷区深沢8-10-14ボザール深沢1階
03-6432-3366

  • TOP
  • お知らせ
  • 診療案内
    • はじめての方へ
    • 施設紹介
    • スタッフ紹介
    • アクセス
  • 手術について
    • 骨折の手術について
    • 腎臓・胆のうの病気について
    • 避妊・去勢手術について
    • セカンドオピニオン
  • ペットホテル
  • 獣医師コラム
  • よくある質問
  • 開業医様へ
  • 採用情報
  • プライバシーポリシー

© 【開発】桜の街どうぶつ病院(世田谷区桜新町)

目次